التهاب الأذن "أمراض أنف وأذن وحنجرة" |
/%D8%A7%D8%B0%D9%86%202.jpg) |
| الأعراض | الأسباب | العلاج | الوقاية | ألم في منطقه الأذن.
افرازات من الأذن .
ارتفاع درجات الحراره.
الشعور بالدوار .
التعب والضعف العام .
سيلان في الأنف احيانا .
عدم القدرة على السماع بصوره جيدة .
إحتقان الجيوب الأنفية أحيانا .
صداع .
القيء والغثيان والاسهال في بعض الأحيان .
عدم وضوح الرؤية في بعض الأحيان .
حدوث طنين الأذن .
تصلب وألم في الرقبة . | الإصابة بالعدوى الفيروسية ، البكتيرية أو الفطرية .
الاصابة بإلتهابات القصبات الهوائية العلوية بشكل متكرر.
الإصابة بأمراض الجهاز المناعي .
قد تلعب الوراثة دورا في الإصابة بهاذا المرض .
وجود عيوب خلقيه في القناة السمعية .
إدمان الكحول .
الإصابة بمرض السكري المزمن قد يزيد من فرصه حدوث هذا الإلتهاب .
عرض أو أثر جانبي لعلاجات دوائية وخصوصا علاجات التشنجات ( الصرع) . | العلاج
بعض الحالات التي تنتج عن عدوى بكتيرية يلزمها وصف المضادات الحيوية .
الحالات التي يعاني منها المريض من الألم أو الحمى يجب استخدام العقاقير الدوائية المسكنة للألم .
قد يحتاج الطبيب الى وصف علاجات تعمل على إزالة الإحتقان .
قد يحتاج الطبيب الى وصف مضادات التحسس المسماه مضادات الهستامين في بعض الأحيان .
قد يحتاج الطبيب في بعض لأحيان الى إجراء تدخل جراحي لسحب بعض السوائل وتخفيف الضغط على الغشاء الإذني . |
لا يوجد |
|
التهاب الأنف "انف وأذن وحنجرة" |
/%D8%A7%D9%84%D8%A3%D9%86%D9%81.jpg) |
| الأعراض | الأسباب | العلاج | الوقاية | احتقان شديد في الأنف.
حكة احساس بالحرقة في الأنف.
العطس المستمر.
صداع.
سيلان الدموع.
سيلان انفي.
تورم المنطقة المحيطة بالانف.
ارتفاع درجة حرارة الجسم. | العدوى البكتيرية أو الفيروسية.
بعض انواع الادوية.
العوامل الوراثية.
التحسس الموسمي.
اضطراب في جهاز المناعة.
الجفاف الشديد في الاغشية المخاطية الانفية.
الاصابه بنزلات البرد بشكل متكرر. |
وصف ادوية لازالة احتقان الأنف.
وصف ادوية للتخفيف من اعراض التحسس.
وصف ادوية مضادة للالتهاب.
| الإبتعاد عن كل ما يثير التحسس و الإلتهاب مثل غبار الطلع او الاتربة او وبر الحيوانات و غيرها.
ارتداء الكمامات الطبية الواقية و خاصة في فصل الربيع.
الاستحمام عند العودة الى المنزل، حيث أن جزيئات غبار الطلع و حبوب اللقاح قد تعلق على الجسم والملابس من الخارج.
التأكد من إبقاء الأبواب والنوافذ مغلقة و تهوية المنزل عندما تكون كمية حبوب اللقاح في الجو قليلة أي في منتصف الصباح اوفي وقت مبكر من المساء.
الابتعاد عن اي شخص مصاب بالتهاب جرثومي او فيروسي. |
|
التهاب البلعوم "أمراض أنف وأذن وحنجرة " |
/%D8%A7%D9%84%D8%A8%D9%84%D8%B9%D9%88%D9%85%202.png) |
| الأعراض | الأسباب | العلاج | الوقاية | التهاب و ألم في الحلق,وصعوبة في الكلام,و صعوبة البلع
تضخم الغدد الليمفاوية في الرقبة والحلق (اللوزتين),وإرتفاع درجه حرارة الجسم (الحمى)
الشعور بالصداع,و الإحساس بألم في الأذن
قد يصاحب ذلك تحسس جلدي وظهور طفح جلدي ,وقشعريرة ,و فقدان الشهية ,والألم في العضلات ,وسيلان الأنف ,و إحمرار الحلق | العدوى الفيروسية مثل فيروس الهربس البسيط .
الإصابة بالزكام أو النزلات الصدرية والإلتهابات الرئوية .
قد يكون بسبب تحسسي وتهيج الجهاز المناعي .
التحسس من بعض المواد الكيماوية السامة .
العدوى البكتيرية .
الإصابة بأمراض الجهاز المناعي . | شرب السوائل الدافئة مثل الشاي أو الشاي مع الليمون والعسل.
الغرغرة عدة مرات يوميا بالماء الدافئ والملح (1/2 ملعقة صغيرة من الملح في كوب من الماء .
اذابة الحلوى الصلبة بالفم لإبقاء الحلق رطبا مما يخفف الألام قليلا .
استخدام المرذاذ أو المرطبات لترطيب وتهدئة جفاف الحلق. | اتباع قواعد السلامة العلامة والنظافه الشخصية
اتباع نظام حمية مناسب وتناول الطعام الصحي المفيد .
ممارسة الرياضة بانتظام ، إذا كان ذلك ممكناً .
الإقلاع عن التدخين وشرب الكحول .
تقليل كمية الكافيين المتناولة يومياً
عدم مشاركة الأشخاص الأدوات الشخصية |
|
التهاب الحلق "أمراض أنف وأذن وحنجرة" |
/%D8%A7%D9%84%D8%AD%D9%84%D9%82%203.png) |
| الأعراض | الأسباب | العلاج | الوقاية | الم الحلق .
حمى .
لعيان و تقيؤ .
ألم متعدد في أنحاء مختلفة من الجسم .
صداع .
سعال .
سيلان من الانف .
الم الاذن .
فقد الشهية .
عطاس .
ضعف .
احمرار في الحلق و اللوزتين .
ظهور بقع بيضاء على اللوزتين .
انتفاخ اللوز و العقد الليمفاوية .
خشونة في الصوت . | عدوى فيروسية, مثل الانفلونزا, او فيروس ايبشتاين- بار.
التعرض لمواد مهيجة مثل دخان السجائر او نتيجة حساسية .
التعرض لإصابة على الرقبة .
الإصابة بأمراض الجهاز المناعي .
التحسس من بعض المواد الكيماوية السامة .
الإصابة بالزكام أو النزلات الصدرية والإلتهابات الرئوية . | في أغلب الحالات يكون المرض فيروسي المنشأ ولا يحتاج لعلاج دوائي بالمضادات الحيوية ويزول دون تدخل طبي في خلال 7 أيام وخلافا لذلك يجب مراجعة الطبيب فورا
قد يوصي الطبيب بمسكنات الم و مخفضات حرارة .
شرب السوائل الدافئة مثل الشاي أو الشاي مع الليمون والعسل.
الغرغرة عدة مرات يوميا بالماء الدافئ والملح (1/2 ملعقة صغيرة من الملح في كوب من الماء).
اذا كان السبب هو عدوى بكتيرية قد يوصي الطبيب بمضادات حيوية .
اذا كان المريض يعاني من حساسية قد يوصي الطبيب بأدوية مضادة للهيستامين. |
عدم التواجد حول الاشخاص الذين يعانون من التهاب في الحلق .
المحافظة على النظافة الشخصية.
عدم مشاركة الاغراض الشخصية مع الشخص المصاب.
عدم لمس السطوح التي يوجد عليها عدوى |
|
التهاب الحنجرة "امراض أنف وأذن وحنجرة" |
/%D8%A7%D9%84%D8%AD%D9%86%D8%AC%D8%B1%D8%A9.jpg) |
| الأعراض | الأسباب | العلاج | الوقاية | بحة في الصوت
فقدان او ضعف في الصوت
دغدغة في الحلق
احتقان بالحلق
جفاف بالحلق
قحة جافة | المواد المثيرة للحساسية
الدخان
ارتجاع الحمضفي المريء
الافراط في استخدام الصوت
الافراط في تناول المشروبات الكحولية
عدوى بكتيرية
عدوى الاصابة ببعض الفطريات
عدوى الاصابة ببعض الطفيليات
سرطان
تشنج الاحبال الصوتية -الشيخوخة | فاذا كان المسبب هو عدوى بكتيرية او فطرية فيعالج العدوى باستخدام مضادات حيوية اما اذا كان المسبب ارتجاع الحمض في المريء
اذا كان السبب هو التدخين او شرب مشروبات كحولية فالامتناع عنهم سيساعد في العلاج
احيانا قد يصف الطبيب حبوب كورتبزون مما سيقلل الالتهاب
ايضا مسكنات الم . |
تجنب التدخين بكافة أشكاله .
عدم تناول الكحول .
الإكثار من شرب السوائل .
الإبتعاد عن المصابين بالعدوى التنفسية. |
|
التهاب الرئوى " أمراض الجهاز التنفسى " |
/%D8%A7%D9%84%D8%AA%D9%87%D8%A7%D8%A8%20%D8%B1%D8%A6%D9%88%D9%89.jpg) |
| الأعراض | الأسباب | العلاج | الوقاية | السعال مع وجود البلغم بكثرة
الم الصدر مع السعال واخذ النفس بعمق
حمى وتعرق
قشعريرة
ضيق التنفس
اجهاد عام
صداع
التقيء والغثيان
تكون حرارة الجسم عند كبار السن اكثر 65 عام وضعيفي المناعة اقل من مستوها الطبيعي | ما يتم اكتسابه من المجتمع المحلي عن طريق التنفس مثل البكتيريا والفيروسات والفطريات.
التهاب الرئوي المكتسب من المستشفيات وتحدث بعد دخول المستشفى ب 48 ساعة وتسببها البكتيريا.
لتهاب الرئوي التنفسي والذي يحدث بسبب دخول جسم غريب الى الرئة مثل الطعام والشراب اثناء الاكل او الشرب والتقيء
اما عن عوامل الخطورة: 1- كبار السن فوق 65 عام والاطفال دون 2 عام
2- ضعيفي المناعة
3 - المدخنين
4- الاصابة بالامراض المنزمنة مثل ( الربو, والانسداد الرئوي وامراض القلب) . | يهدف علاج الاتهاب الرئوي الى القضاء على الجراثيم المسببة له ومنع حدوث المضاعفات ,
فقد تحتاج بعض الحالات الشديدة للاقامة في المستشفى وبعضها يمكن علاجه في المنزل.
يحتاج المصاب للاقامة في المستشفى اذا كان: عمره اكثر من 65 او اقل من 3 سنوات
يشكو من حمى شديدة او من حرارة اقل من المستوى الطبيعي
صعوبة التنفس مع انخفاض مستوى الاكسجين في الدم
انخفاض مستوى ضغظ الدم وزيادة سرعة التنفس
ضعف المناعة المكتسب مثل الايدز او بسبب العلاج الكيميائي | اخذ لقاح الانفلونزة الموسمي
التطعيم ضد ذات الرئة لكبار السن والمرضى الذين يحتاجون للاقامة فترة طويلة بالمستشفى او في دور الرعاية الصحية الالتزام بجدول المطاعيم العالمي للاطفال لتاكد من اخذ مطعوم ذات الرئة
الاقلاع عن التتدخين
ممارسة الرياضة واتباع نظام غذائي صحي يساعد في تحسين المناعة
البقاء في المنزل عند الاصابة بنزلات البرد |
|
التهاب العين "أمراض العيون" |
/%D8%A7%D9%84%D9%84%D8%AA%D9%87%D8%A7%D8%A8%20%D8%A7%D9%84%D8%B9%D9%8A%D9%862.jpg) |
| الأعراض | الأسباب | العلاج | الوقاية | ألم العين .
انتفاخ العين.
اضطراب الرؤية.
احمرار العين.
خروج افرازات من العين. | العدوى البكتيرية بالمكورة المعوية
البكتيريا العنقودية الذهبية او
بكتيريا العصوية الشمعية.
الرمد الوليدي ( التهاب ملتحمة العين عند حديثي الولادة )
دخول جسم غريب للعين . |
وصف المضادات الحيوية على شكل قطرات توضع داخل العين في حال تسبب العدوى البكتيرية بالالتهاب .
وصف القطرات للتخفيف من حدة التهاب واحمرار العين .
|
لا يوجد |
|
التهاب الفم " أمراض الفم" |
/%D8%A7%D9%84%D9%81%D9%85%204.jpg) |
| الأعراض | الأسباب | العلاج | الوقاية |
تقرحات الفم الداخلية .
الاحساس بالألم داخل الفم وتحديدا عند تناول الطعام او الشراب او عند البلع.
تورم اللثة .
ارتفاع درجة الحرارة | جفاف الفم الذي قد يرافق انسداد الانف وحاجة المريض للتنفس عن طريق الفم .
الجروح أو الاصابات الداخلية للفم المرافقة للاجراءات التيخضع لها المريض في عيادة طبيب الأسنان .
تقويم الاسنان او الزوايا الحادة للأسنان .
الاصابة بالداء البطني ( فرط حساسية بروتين الجلوتين في القمح ) .
فرط حساسية بعض أنواع الاطعمة كالفراولة , الفاكهه الحمضية , القهوة او البيض وغيرها.
داء الامعاء الالتهابي.
الاصابة بمتلازمة نقص المناعة المكتسبة .
ضعف الجهاز المناعي .
نقص في فيتامين ب12 , حمض الفوليك , الحديد او الزنك .
التوتر.
تناول بعض العلاجات الدوائية . |
العقاقير الدوائية مثل كالمضادات الحيوية في حال وجود عدوى بكتيرية .
الكريمات العلاجية الموضعية .
|
تناول المكملات الغذائية مثل فيتامين ب12 او حمض الفوليك بعد استشارة الطبيب.
تجنب تناول الاطعمة الحامضية او الحارة والتي قد تُثير الالتهاب .
|
|
التهاب الكبد "أمراض باطنة " |
/%D8%A7%D9%84%D8%AA%D9%87%D8%A7%D8%A8%20%D8%A7%D9%84%D9%83%D8%A8%D8%AF.jpg) |
| الأعراض | الأسباب | العلاج | الوقاية | فقدان الشهية للطعام.
الغثيان.
الحمى وارتفاع درجة حرارة الجسم.
الم او عدم ارتياح في منطقة اعلى البطن.
اليرقان.
نقصان سريع في الوزن.
القيء المستمر.
| العدوى الفيروسية.
بعض الأدوية والمواد الكيميائية.
السموم.
في حالة الفيروسات؛ ينتشر المرض عن طريق ملامسة البراز الملوث، أو بواسطة الأطعمة والمواد الملوثة، أو استعمال الحقن ونقل الدم من شخص مصاب وذلك تبعا لنوع الفيروس المسبب.
|
عملية جراحية لازالة الجزء المصاب من الكبد.
وصف ادوية لعلاج العدوى الفيروسية.
وصف ادوية لتقوية المناعة
|
الحرص على اتباع قواعد النظافة الشخصية.
عدم استخدام ادوات الغير.
اجراء فحوصات دورية للجسم وفحوصات وظائف الكبد بشكل خاص.
|
|
التهاب اللثة "أمراض اسنان" |
/%D8%A7%D9%84%D9%84%D8%AB%D8%A9.png) |
| الأعراض | الأسباب | العلاج | الوقاية | احمرار اللثة.
تورم اللثة.
الم في اللثة او الاسنان.
وجود رائحة كريهة للفم.
نزول الدم في بعض الاحيان.
تغير الملمس والشكل العام للثة.
نمو غير طبيعي للثة قد يؤثر على اماكن الاسنان في الفم. | عدم الاهتمام بنظافة الفم والاسنان .
التهابات البكتيرية.
التغيرات الهرمونية التي تحدث أثناء الحمل.
النمو العشوائي للأسنان .
تناول بعض انواع الأدوية. |
وصف المضادات الحيوية.
وصف ادوية مسكنة للألم.
معقمات الفم.
اجراء تدخل جراحي في بعض الحالات. | غسل الاسنان مرتين يوميا على الاقل.
استخدام فرشاه جيده النوع.
استخدام مستحضرات مضمضة الفم.
استخدام معقمات الفم باستمرار.
المحافظه على قواعد الصحة العامة و النظافة الشخصية |
|
التهاب اللسان "أمراض الفم" |
/%D8%A7%D9%84%D9%84%D8%B3%D8%A7%D9%86.jpg) |
| الأعراض | الأسباب | العلاج | الوقاية | صعوبة في المضغ او البلع اوصعوبة في النطق.
ظهور سطح اللسان بشكل أملس.
تقرح وألم في اللسان.
تغير في لون اللسان؛ بحيث يكون شاحبا اذا كان فقر الدم هو سبب الالتهاب، او قد يكون لونه احمر قاتم اذا كان سبب الالتهاب نقص في فيتامين ب.
انتفاخ اللسان. | فرط الحساسية لمعجون الاسنان اوغسول الفم اومعطرات الفم اوالاصباغ الموجودة في الحلويات اوالمواد البلاستيكية الموجودة في اطقم الاسنان او بعض الادوية الخافضة لضغط الدم .جفاف الفم وخاصة المرافق لاختلال الغدد اللعابية .
الاصابة بعدوى بكتيرية , فيروسية أو فطرية في الفم.
الجروح التي تحدث في اللسان نتيجة الحروق او الحواف المدببة للأسنان اوالادوات التي تستخدم للعناية بالأسنان.
نقص الحديد او نقص في بعض انواع فيتامين ب كفيتامين ب12.
التدخين او فرط شرب الكحول او تناول الأطعمة الساخنة او الحارة.
الاصابة ببعض امراض الفم مثل الحمو او التقرحات. | توصية المريض بالمحافظة على نظافة الفم والاسنان وذلك عن طريق تنظيف الأسنان بالفرشاة مرتين يوميا على الأقل وتنظبفها بالخيط على الأقل مرة في اليوم.
استخدام المضادات الحيوية، مضادات الفطريات في حال كانت العدوى هي المسبب لالتهاب اللسان .
اتباع نمط غذائي معين او تناول المكملات الغذائية لعلاج فقر الدم او مشاكل غذائية آخرى قد تكون مسببة لالتهاب اللسان .
تجنب المواد التي تتسبب بتهيج اللسان كالمشروبات الكحولية والأغذية الحارة او الساخنة والتدخين . |
الحفاظ على نظافة الفم من خلال تنظيف الاسنان والعناية بصحتها بشكل مستمر |
|
التهاب اللوزتين "أمراض أنف وأذن وحنجرة" |
/%D8%A7%D8%AD%D9%85%D8%B1%D8%A7%D8%B1%20%D8%A7%D9%84%D9%84%D9%88%D8%B2%D8%AA%D9%8A%D9%86%202.jpg) |
| الأعراض | الأسباب | العلاج | الوقاية | احمرار اللوزتين وانتفاخهما
الحمى والقشعريرة
ألم الاذن
صعوبة البلع
ألم الرأس
ألم المعدة |
يحدث نتيجة عدوى فيروسية او بكتيرية ويعتبر التهاب الحلق أهم اسباب التهاب اللوزتين | يعتمد علاج إلتهاب اللوزتين على المسبب سواء كان بكتيريا أو فيروس , فإذا كان السبب فيروس فقد تزول الأعراض تلقائيا ولا تحتاج الى علاج .
أما إذا كان السبب بكتيريا فقد يصف الطبيب مضادا حيويا حسب نوع البكتيريا المسببة للإلتهاب , وقد يصف أيضا الأدوية التي تخفف الاعراض المصاحبة للألم ةالحرارة .
أما في الحالالت المتكررة لإلتهاب اللوزتين فقد يلجأ الطبيب لاستئصال اللوزتين . |
عليك الابتعاد اولا عن الاشخاص المصابين بالعدوى والمحافظة على النظافة بشكل عام ( مثل غسل اليدين بعد تناول الطعام واستخدام دورة المياه او تجنب ملامسة الشخص المصاب )
|
|
التهاب المرارة "أمراض الجهاز الهضمى" |
/%D8%A7%D9%84%D8%AA%D9%87%D8%A7%D8%A8%20%D8%A7%D9%84%D9%85%D8%B1%D8%A7%D8%B1%D8%A9.jpg) |
| الأعراض | الأسباب | العلاج | الوقاية | آلام حادة و تشنج في المنطقة العلوية اليمنى من البطن
وقد ينتقل الى منطقة الظهر أو الكتف .
اصفرار الوجه و العينين .
الشعور بالقيء و الغثيان .
ارتفاع درجة حرارة الجسم . | حصى المرارة و يُعد المسبب الرئيسي .
ورم في المرارة .
بعض الحالات قد تترافق مع وجود التهاب في مكان اخر
في الجسم و خاصة التهاب الجهاز الهضمي (كإلتهاب الكبد ) ،
أو التهاب الأوعية الدموية . |
يمكن استخدام العقاقير الدوائية المسكنة للألم ،
و بعض حالات العدوى يلزمها وصف المضادات الحيوية.
إجراء تدخل جراحي لاستئصال المرارة كلياً .
|
لا يوجد |
|
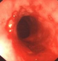
التهاب المرىء "أمراض الجهاز الهضمى " |
/%D8%A7%D9%84%D9%85%D8%B1%D9%89%D8%A1.jpg) |
| الأعراض | الأسباب | العلاج | الوقاية | صعوبة و ألم خلال البلع
الشعور بحرقة المعدة
التهاب و ألم الحلق
بحة في الصوت
سعال
الشعور بالقيء و الغثيان
ارتفاع درجة الحرارة
نقص الشهية | التدخين .
شرب الكحول .
تناول بعض العقاقير كالأسبرين و مضادات الالتهاب اللاستيرويدية ( مثل الأيبوبروفين ، النابروكسين).
العلاج باستخدام الأشعة.
الإصابة بعدوى فيروسية أو فطرية أو بكتيرية.
التهاب المريء الناتج عن العلاج بالعقاقير الدوائية و منها المضادات الحيوية مثل التيتراسايكلين ، دوكسيسيكلن.
الإصابة بمرض الارتداد المعوي المريئي.
الإصابة بمرض مناعي ذاتي .
القيء المستمر .
تناول بعض المكملات الغذائية مثل الفيتامينات |
معالجة الارتداد المعدي المريئ .
معالجة العدوى إن وجدت .
إيقاف أي عقاقير علاجية قد تؤدي إلى التهاب المريىء
| تناول غذاء صحي متوازن غني بالألياف والمواد الغذائية الضرورية
التقليل من تناول الغذاء الذي يحتوي كميات كبيرة من الدهون
ممارسة الرياضة و محاولة خسارة أي وزن زائد
تجنب تناول الكحول
تجنب التدخين
تجنب أخذ العقاقير المسببة لالتهاب المريىءإلا عند الحاجة |
|
التهاب المعده "أمراض الجهاز الهضمى " |
/%D8%A7%D9%84%D8%AA%D9%87%D8%A7%D8%A8%20%D8%A7%D9%84%D9%85%D8%B9%D8%AF%D9%87.jpg) |
| الأعراض | الأسباب | العلاج | الوقاية | فقدان الشهية وعدم القدرة على كسب الوزن .
الشعور بالغثيان والتقيء .
ألم حاد في البطن .
تغير لون البراز اثر خروج الدم .
القيء المستمر وقد يكون مصحوب بالدم أحياناً .
حدوث الإسهال . | الإصابة بالعدوى بكتيرية ومنها.
استخدام بعض العقاقير الدوائية التي تتسبب بتأثير جانبي على المعدة كالأسبرين أو الآيبوبروفين
و خاصة عند استخدامها لفترة طويلة .
الإصابة بالإرتداد المعدي المريئي .
بعض الحالات مرتبطة بالتوتر الشديد .
العدوى الفيروسية بالفيروس المضخم للخلايا او الفيروس الهيربيسي البسيط.
فرط استهلاك المواد الكاوية او المُتسببة في تآكل بطانة المعدة و فرط استهلاك المشروبات الكحولية .
وجود حالة مرضية تتطلب الاعتماد أجهزة التنفس الاصطناعي لمدة زمنية طويلة .
الاصابة بأمراض الجهاز المناعي الذاتية . |
تثبيط نشاط الخلايا المنتجة للأحماض المعدية .
تقليل كمية الأحماض المفرزة
معادلة أحماض المعدة .
استخدام المضادات الحيوية تبعا لنوع البكتيريا المسببة .
| عدم تناول الادوية الا بوصفة طبية و الإلتزام بتعليمات الطبيب و الصيدلاني حول الطريقة المناسبة للإستخدام .
الإمتناع عن تناول العقاقير الدوائية من مضادات الإلتهاب الغير ستيرويدية ( كالأيبوبروفين ، الديكلوفيناك) أو الأسبيرين و خاصة تناولها لفترة طويلة من الزمن و على معدة فارغة .
تناول طعام صحي ومتوازن .
الإقلاع عن التدخين .
عدم شرب المشروبات الكحولية .
الإهتمام بالنظافة العامة .
تناول الطعام المطبوخ جيداً .
تناول الخضروات المغسولة جيداً .
عدم إستعمال ادوات الأخرين الشخصية .
غسل اليدين بشكل متكرر بالماء والصابون قبل تناول الطعام او بعد استخدام دورة المياه . |
|
التهاب المعده والقولون "أمر اض الجهاز الهضمى " |
![]() |
| الأعراض | الأسباب | العلاج | الوقاية | الاسهال.
القيء أو الغثيان.
ألم في البطن.
إنتفاخ البطن.
اجهاد وضعف عام.
الصداع.
ارتفاع درجة الحرارة.
جفاف.
تسارع نبضات القلب في بعض الحالات. | العدوى الفيروسية.
العدوى البكتيرية.
العدوى بالطفيليات.
آثار جانبية لبعض الأدوية.
الإضطراب النفسي و العاطفي. | شرب كميات مناسبة من الماء لتعويض النقص وذلك عن طريق الفم أو عن طريق الوريد.
وصف ادوية مضادة للالتهاب.
وصف ادوية مقوية ومحفزة للمناعة.
في حال وجود اسهال مزمن قد يصف الطبيب ادوية لعلاج الاسهال.
وصف مسكنات الالم في حال وجود الم في البطن. |
اتباع قواعد النظافة العامة والشخصية.- تجنب استعمال ادوات الغير خاصة اذا كانوا مصابين.-الاهتمام بطهو الطعام جيدا.-الاهتمام بتناول نوعية طعام جيدة وغير تالفة. |
|